神经病学俱乐部
浙江省医师协会神经科医师分会 指定网站
滚动公告
关注我们

微信号NeurologyClub

名 称神经病学俱乐部

网 站www.neurologyclub.org

手机网m.neurologyclub.org


新闻详情

可逆性后部脑病综合征(PRES)

作者:lql浏览数:677 


概述

1996年Hinchey等首次报道了一组临床影像综合征——可逆性后部白质脑病综合征,但随着MRI技术的不断发展,发现其除了白质,也可累及灰质,因此,2000年Casey等提出了新的命名,即可逆性后部脑病综合征(Posterior reversible encephalopathy syndrome,PRES)。


一般认为,PRES本质上是一种可逆性的血管源性水肿,伴急性神经系统症状,如癫痫发作,脑病,头痛,视觉障碍等,常见原因为高血压、肾衰竭、使用细胞毒性药物、自身免疫性疾病、子痫前期或子痫。PRES常由急剧的血压波动或细胞因子对血管壁的直接作用致内皮损伤,引起血脑屏障的破坏,继而引起脑水肿。本病通常是可逆性的,包括影像学表现和临床症状,预后多数较好。


近年来,一些不典型的PRES陆续增多,包括中央变异型PRES,PRES伴脊髓受累,可逆性全部脑病综合征(Generalised reversible encephalopathy syndrome)等,对本病的诊治和研究提出了新的挑战。


脑血流的生理


一般情况下,脑灌注压变化范围波动在50-150mmHg之间(脑灌注压=平均动脉压-颅内压),大脑可以通过自身调节来维持相对恒定的脑血流量。脑血流自身调节机制包括:脑血管压力反应、化学因素(如CO2浓度)与自主神经系统。


当血压下降时,脑动脉舒张,为脑细胞保持足够的血流和灌注。相反,血压升高时,脑动脉透壁压升高,局部血管内皮的机械感受器通过离子通道、整合素和细胞骨架变形将压力变化转变为细胞反应,引起血管收缩,从而维持一个相对稳定的血流量。


脑血流自身调节需要所谓的神经血管单位,包括神经元、血管细胞和胶质细胞。来自神经元、血管内皮细胞和星形胶质细胞的化学信号有助于脑血流的控制。血管内皮细胞可以分泌血管舒张因子(NO、前列环素、硫化氢、内皮源性超极化因子)和血管收缩因子(血栓素A2、内皮素1和血管紧张素II)。


病理生理机制


PRES的病理生理机制主要为急剧升高的血压超过了脑血流自身调节上限,导致脑高灌注。


动脉血压急剧升高,自身调节反应失效,引起大脑高灌注,血脑屏障破坏,致血浆和大分子物质溢出到组织间隙。大脑后部对高灌注尤其敏感,因为后颅窝交感神经较少。在部分易感患者中,即使血压没有超过典型的自身调节范围,也可以导致内皮细胞功能受损和血脑屏障破坏。因此,患者的基础血压、血压升高幅度和升高速度是重要影响因素。


除外血压急剧升高,循环细胞因子过载也可能会引起内皮细胞功能异常。在炎症反应中,淋巴细胞和单核细胞的激活导致细胞因子释放(如TNFα、IL-1、IFNγ)。这些细胞因子激活内皮细胞分泌血管活性物质,增加血管通透性,导致大脑间质水肿。TNFα和IL-1诱导粘附分子的表达(如细胞间粘附分子1 [ICAM-1]、血管细胞黏附蛋白1[VCAM-1]、E选择素等)。TNFα诱导血管内皮生长因子(VEGF)的表达,后者可以增加血管通透性。PRES患者免疫系统激活,也会释放细胞因子,上调VEGF的表达。子痫前期和子痫患者血VEGF-A升高,与PRES显著相关。


(图1:PRES的病理生理机制)


约半数PRES患者既往有自身免疫性疾病,包括:SLE、血栓性血小板减少性紫癜、甲减、硬皮病、Crohn病、溃疡性结肠炎、原发性硬化性胆管炎、类风湿性关节炎、干燥综合征、结节性多动脉炎、肉芽肿性血管炎和视神经血管炎。


器官移植后/化疗使用的免疫抑制剂/细胞毒性药物是PRES常见的诱发因素。可在患者使用这些药物数月后且血药浓度正常的情况下罹患PRES。内源性血管活性物质内皮肽、低镁血症和高血压可能会易化环孢素的神经毒性作用。这些药物亦包括他克莫司(而雷帕霉素极少)和抗血管形成药物,如抗VEGF药物(贝伐单抗、苏尼替尼和索拉非尼)。


肾功能衰竭是PRES最相关的疾病之一,见于约55%的PRES患者。然而,两者相关的机制尚未明确,可能因为并发的高血压、或是自身免疫性疾病,亦或肾功能异常本身是PRES的独立危险因素。


临床表现


PRES常急性或亚急性起病(数小时或数天)。常见的临床症状见下表。脑病是最常见的症状,轻者仅有轻度意识模糊,重者可重度昏迷。约60-75%患者可有癫痫发作。癫痫持续状态相对少见。典型的EEG表现为双侧枕部尖波。对于考虑PRES伴不明原因的意识不清建议行EEG检查。


其它常见的症状包括头痛和视觉障碍(视力下降、视野丧失、皮质盲和幻觉)。头痛常表现为钝痛,呈弥漫性,逐渐起病。雷击样头痛患者需怀疑脑血管收缩相关疾病,建议行脑血管造影。局灶性神经功能缺失,如偏瘫或失语,见于5-15%的患者。脊髓受累引起脊髓症状和体征者极少见,但仍有个案报道。


多数患者同时出现上述多个症状。对于同时出现癫痫发作和视觉障碍或头痛的患者,需要考虑PRES可能。


表1  PRES常见临床症状

临床症状

发生率(%

脑病

50-80

癫痫发作

60-75

头痛

50

视觉障碍

33

局灶性神经功能缺损

10-15

癫痫持续状态

5-15


影像学表现


颅脑影像学有助于诊断PRES以及鉴别诊断。血管源性水肿可以通过CT来发现,但颅脑MRI更敏感。由于缺乏诊断金标准,无法评估MRI的特异性。颅脑MRI典型表现为双侧顶枕叶为主的血管源性水肿,呈T1低信号,T2/FLAIR高信号,DWI等或低信号,ADC高信号。通常累及皮质下白质,较少累及皮质。水肿几乎累及双侧,不完全对称。



(图2:典型的黑水像PRES影像学表现)


影像学表现可分为四型:顶枕型,全脑分水岭型,额上回型和中央变异型。影像学分型和水肿严重程度都不与临床表现分型和严重程度相关。额叶和颞叶受累者约占75%。累及基底节和脑干者有1/3,累及小脑者约占半数。这些部位的水肿一般是伴随着顶枕部位的受累。病变不累及顶枕区域者少见。仅累及单侧大脑和孤立性脑干与小脑水肿者需要排除其它疾病。


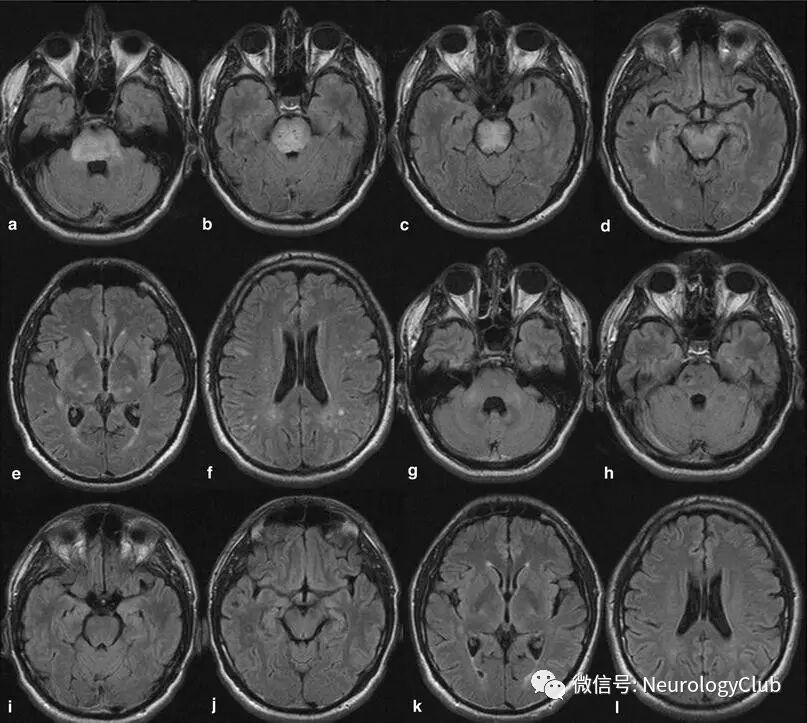
(图3:均为黑水像;A-C:顶枕型PRES;D-F:全脑分水岭型PRES;G-I:额上回型PRES)



(图4:均为黑水像;中央变异型PRES


表2  PRES不常见MRI表现

不常见影像学表现

发生率(%

弥散受限

15-30

强化病灶

20

颅内出血

10-25

血管造影示血管收缩

15-30

约15-30%患者在MRI上可见弥散受限。弥散受限部位通常是位于大片血管源性水肿部位的较小病灶。弥散受限病灶的出现通常与不可逆的损伤和临床不完全恢复相关。DWI高信号时,对应ADC值可低、等或高(见图5)。ADC值增加的区域根据T2透射效应(T2 shine-through effect)的数量在DWI上可表现为高、低或等信号。高ADC值病灶最可能是可逆的,而ADC值下降通常进展为真正的梗死。(注:T2透射效应即指DWI上的信号仍包含着T2弛豫时间的影响,因此DWI上的高信号病灶可能反应了强T2透射效应,而不是弥散减少。DWI低信号病灶是由于不能被T2效应平衡的更高ADC值所致)



(图5:PRES弥散受限表现)


约20%的PRES患者在增强MRI可见强化病灶,强化程度不等。脑叶病灶一般呈脑回状或斑片状,基底节、深部白质、小脑、脑干等部位多呈斑点样强化。软脑膜强化最常见,软脑膜+皮层强化次常见。异常强化反应了局部血脑屏障的破坏。



(图6:PRES软脑膜强化[19岁男性,既往有SLE、全血细胞减少症病史,癫痫发作起病。A-C:起病时MRI表现;D-F:2月后复查])



图7:PRES脑实质结节状强化[58岁男性,肾癌化疗伴脓毒血症,以癫痫发作起病。血压偏低92/67mmHg。A-C:起病时MRI;D:7天后复查强化病灶吸收]



(图8:PRES软脑膜及实质强化[14岁女性,癫痫发作,既往SLE病史。A-B:起病时MRI;C-D:5月后复查])


10-25%PRES患者可伴有颅内出血。脑实质出血最常见,而蛛网膜下腔出血次常见。出血患者中约18-30%同时存在两者类型出血。异基因骨髓移植后罹患PRES者颅内出血几率更大。一项应用SWI序列的研究显示58%18/31)患者可见微出血,但其临床意义不明确。



9:PRES伴脑出血


数个研究显示PRES血管造影检查(CTA、MRA、DSA)可见脑血管不规则伴局部血管收缩。研究发现约15-30%患者存在血管收缩。有研究报道17-38%的可逆性脑血管收缩综合征患者伴发PRES。


不典型案例


典型的临床症状结合典型的影像学表现诊断PRES不难,但临床上碰到影像学表现不典型者,诊断难度较大。接下来再看一些不典型案例。


案例1:17岁男性,慢性肾脏病5期,表现为视力模糊,共济失调。


(图10:A:T2WI;B:SWI;C-D:10天后复查,临床症状完全缓解,T2WI水肿明显吸收,而SWI上微出血增多


案例2:37岁男性,既往无高血压病史,因突发头痛、进展性视力下降2周入院。入院时测血压270/160mmHg。眼底镜可见出血、渗出和视乳头水肿。快速降血压治疗(ARB+利尿剂+CCB)使血压降至正常。


(图11:a-f:头颅MRI示脑干、双侧丘脑与额颞叶皮层下白质异常高信号。头痛和视觉症状2周后逐渐好转。g-l:3月后复查头颅MRI,病灶明显吸收


案例3:42岁男性,既往体健,因枕部头痛、恶心、呕吐和失衡入院。血压:190/110mmHg。神经科查体示腱反射亢进,失调步态,双侧轻度辨距不良。入院化验示肌酐9.68mg/dl,尿素氮194.7mg/dl,余无殊。诊断为终末期肾病,予血液透析治疗。2周后临床症状好转。


(图12:起病时MRI表现


(图13:复查时的MRI表现)


案例4:17岁女性,头痛、呕吐,视力下降1月,查体无神经科体征,眼底镜可见视乳头水肿。血压204/160mmHg。接受降压治疗。1月后复查MRI,病灶明显吸收。


(图14:头颅MRI可见额叶、岛叶、颞叶、基底节区和脊髓病变


案例59岁女孩,头痛、呕吐伴视物模糊15天。既往两次周围性面瘫病史。神经科查体未见明显阳性体征。血压225/110mmHg。实验室检查:血红蛋白8.8g/dL,肌酐1.77mg/dL,尿素氮38mg/dL。腰穿压力正常,脑脊液蛋白轻度升高(57mg/dL),IgG合成指数0.9,有核细胞10/10^6,红细胞70/10^6。寡克隆带阴性。TORCH、病毒性检测阴性。抗核抗体阴性。血NMO抗体阴性。B超示双侧肾脏萎缩。患者接受短暂的激素治疗。1周后症状缓解,10天后复查MRI病灶完全吸收。


(图15:颅脑MRI可见延髓和颈髓异常信号


诊断与鉴别诊断


对于急性和亚急性起病出现神经系统症状,同时伴有特定的临床状况(如血压急剧升高,血压剧烈波动,免疫抑制,自身免疫性疾病,肾衰竭,子痫前期或子痫)的患者需考虑PRES。PRES的临床症状和体征(如意识模糊,癫痫发作,头痛,视觉障碍)并无特异性,也可以见于其它神经科疾病。PRES的鉴别诊断包括可逆性脑血管收缩综合征、肾上腺脑白质营养不良、静脉窦血栓形成以及其它多种以下疾病(见表3)。


1. 可逆性脑血管收缩综合征(RCVS)

女性多于男性。诱发因素包括产后,接触毒品、酒精和血液制品,选择性5-羟色氨酸再摄取抑制剂,释放儿茶酚胺类的肿瘤等。临床特点为严重头痛(突发,剧烈,雷击样),伴/不伴神经功能缺损,癫痫发作。脑结构影像表现正常;可伴有脑梗死,脑出血,蛛网膜下腔出血或PRES。脑血管影像学:血管节段性狭窄与扩张(腊肠样表现),一般在小于3月时间内这些狭窄处消失。RCVS与PRES存在共同点,亦有分别,是否是同一机制尚不清楚。可给予钙离子拮抗剂(尼莫地平)治疗,预后良好。


(图16:可逆性脑血管收缩综合征DSA腊肠样表现)


2.肾上腺脑白质营养不良

为X染色体连锁隐性遗传病,由过氧化物酶缺乏导致。组织中饱和极长链脂肪酸(VLCFA)病理性堆积引起脑白质进行性脱髓鞘及肾上腺皮质功能低下。好发于儿童,也可见于成年人;几乎均为男性;影像学典型表现:T2及FLAIR像见双侧侧脑室三角区周围白质对称性高信号,通过胼胝体压部,两侧连续的呈“蝴蝶翼”状;增强扫描可见病变中间区域花环样强化,也可无强化。预后差,一般在出现神经系统症状1-3年后死亡。


(图17:肾上腺脑白质营养不良典型MRI表现


3. 静脉窦血栓形成

静脉窦血栓形成常见症状为头痛、癫痫发作、局灶性神经功能缺损、意识障碍和视乳头水肿。


容易与PRES混淆,且PRES和静脉窦血栓形成具有一些共同危险因素,如妊娠,感染,自身免疫性疾病,服用激素等。MRV或DSA可发现静脉窦闭塞。


(图18:静脉窦血栓形成的影像学表现[CT&DSA]


表3  PRES的鉴别诊断

感染性脑炎

进行性多灶性白质脑病

CSF细胞数增多

常伴免疫抑制,亚急性或慢性起病

CSF微生物或PCR阳性

颅脑影像学可为单侧

发热


外周血白细胞增多

渗透性脱髓鞘综合征

颅脑影像学可为单侧

有快速纠正血钠或血糖病史


不好发顶枕叶

自身免疫性或副肿瘤性脑炎

典型的中央脑桥异常信号,蝙蝠翼状

恶性肿瘤病史


血清或CSF特异性抗体阳性

ADEM

颅脑影像学可为单侧

儿童好发


前期病毒或细菌感染、疫苗接种

肿瘤性(淋巴瘤、胶质瘤、转移瘤)

50-75%患者有发热

亚急性或慢性起病

影像上幕上病灶通常不对称

恶性肿瘤病史


近期体重下降

中毒性白质脑病

CSF细胞学异常

毒物药物接触史

无临床和影像学上的好转

毒物或药物筛查阳性

颅脑影像学可为单侧

症状常在数周内进展


MRS示乳酸峰升高,NAA峰降低

CNS血管炎


常亚急性起病

脑白质疏松

CSF细胞数增多

无急性临床症状

细胞毒性水肿

影像学上异常信号是连续的,且围绕脑室周围


治疗


针对PRES无特异性治疗方法。主要是对症治疗和病因治疗。


高血压者需要治疗高血压。对于伴有严重高血压患者,最初数小时内降压目标是降低25%。降压时需避免明显的血压波动,为了能平稳地降血压可能需要持续静脉给药。理论上,过快降压可能会引起脑缺血。癫痫发作者急性期需要抗癫痫药物。如果PRES由某种药物引起(如抗排异药物),则该药物需要终止服用,至少在急性期。


预后


PRES预后通常比较好,多数患者可以完全恢复。多数患者可在1周内恢复,少数患者需要数周达到完全缓解。


并不是所有PRES患者都可以完全恢复的。部分研究显示最严重的类型可导致死亡,1-3月内随访死亡率约3-6%。严重的神经功能缺损和死亡主要是由于颅内出血,后颅窝水肿伴脑干压迫或脑疝,或者弥漫性大脑水肿和颅内压增高。约10-20%患者可遗留神经功能后遗症,包括永久性偏瘫,癫痫发作,视力下降,头晕。部分研究显示颅内出血与不完全恢复相关。


约5-10%PRES患者会复发,高血压未控制者比其它病因(如接受免疫抑制治疗)复发率更高。


回顾性研究显示约10-15%患者数年后再次出现癫痫发作,但多数是因为诱发因素未控制,最常见为PRES复发。尚无前瞻性随机对照研究指导抗癫痫药物合适使用时间。一般可在起病数周后和颅脑病灶消失后停用抗癫痫药物。


[参考文献]

1. Fugate JE, Rabinstein AA.Posterior reversible encephalopathy syndrome: clinical and radiological manifestations, pathophysiology, and outstanding questions.Lancet Neurol. 2015 Sep;14(9):914-25.

2. Gupta V, Bhatia V, Khandelwal N, Singh P, Singhi P.Imaging Findings in Pediatric Posterior Reversible Encephalopathy Syndrome (PRES): 5 Years of Experience From a Tertiary Care Center in India.J Child Neurol. 2016 Aug;31(9):1166-73.

3. Tari Capone F, Candela S, Bozzao A, Orzi F.A new case of brainstem variant of posterior reversible encephalopathy syndrome: clinical and radiological features.Neurol Sci. 2015 Jul;36(7):1263-5.

4. Bălaşa R, Maier S, Baubec EG, Bajkó Z, Bălaşa A.Cerebellar and brainstem variant of posterior reversible encephalopathy syndrome.Acta Neurol Belg. 2015 Sep;115(3):401-3.

5. Yiş U, Karaoğlu P, Kurul SH, Soylu A, Çakmakçi H, Kavukçu S.Posterior reversible leukoencephalopathy syndrome with spinal cord involvement in a 9-year-old girl.Brain Dev. 2016 Jan;38(1):154-7.

6. Karia SJ, Rykken JB, McKinney ZJ, Zhang L, McKinney AM.Utility and Significance of Gadolinium-Based Contrast Enhancement in Posterior Reversible Encephalopathy Syndrome.AJNR Am J Neuroradiol. 2016 Mar;37(3):415-22.

7. Ract I, Poujade A, Carsin-Nicol B, Mouriaux F, Ferré JC.Spinal cord involvement in posterior reversible encephalopathy syndrome (PRES).J Neuroradiol. 2016 Feb;43(1):56-8.

8. Zhang YX, Zheng Y, Zhang BJ, Zhang Y, Ding MP, Zhang BR.Variant Type of Posterior Reversible Encephalopathy Syndrome with Diffuse Cerebral White Matter and Brainstem Involvement Associated with Intracranial Hemorrhage.J Stroke Cerebrovasc Dis. 2016 Dec;25(12):e233-e235.

9. Kunzmann J, Wolf H, Oberndorfer S.Generalised reversible encephalopathy syndrome: a variant of posterior reversible encephalopathy syndrome (PRES).BMJ Case Rep. 2015 Nov 26;2015.


lql编译,zyx审校


温馨提醒
请尊重我们的劳动成果,转载不要忘了注明出处哦~~~



神经病学俱乐部 微信号:NeurologyClub
神经病学俱乐部,立足一线临床,服务神经科同行,助力神经病学天天向上