神经病学俱乐部
浙江省医师协会神经科医师分会 指定网站
滚动公告
关注我们

微信号NeurologyClub

名 称神经病学俱乐部

网 站www.neurologyclub.org

手机网m.neurologyclub.org


新闻详情

脑小血管病的常见MRI表现

作者:zyx浏览数:1239 
概述

脑小血管病(cerebral small vessel disease,CSVD)是一组由于脑内小动脉异常导致的临床表现相似、影像表现相近的脑组织局部病变。解剖学上,脑内小血管病变包括小动脉(100-400μm)及其远端分支(<200μm)、微动脉(<100μm)、毛细血管和小静脉疾病,但目前认为的CSVD主要是指脑小动脉及微动脉血管病,病变血管的直径为50-400μm。


其临床表现多种多样,除可引起纯运动性偏瘫、单纯感觉障碍等各种腔隙性综合征外,还可导致头晕、认知障碍、血管性痴呆、步态异常、帕金森样症状、排尿障碍等多种非特异性症状。


神经影像学血管性改变报道标准组织(Standards for Reporting Vascular Changes on Neuroimaging,STRIVE)提出CSVD在颅脑MRI中可表现为腔隙、新发皮层下小梗死、脑白质高信号、扩大的血管周围间隙、脑微出血及脑萎缩。



(图:MRI上CSVD急性至慢性的演变过程。蓝箭代表常见,绿箭代表次常见,红箭代表不常见;ICH,颅内出血)


(CVSD的MRI表现汇总,上图为案例,中间为示意图,下表总结了不同序列上的信号变化;GRE,梯度回波序列



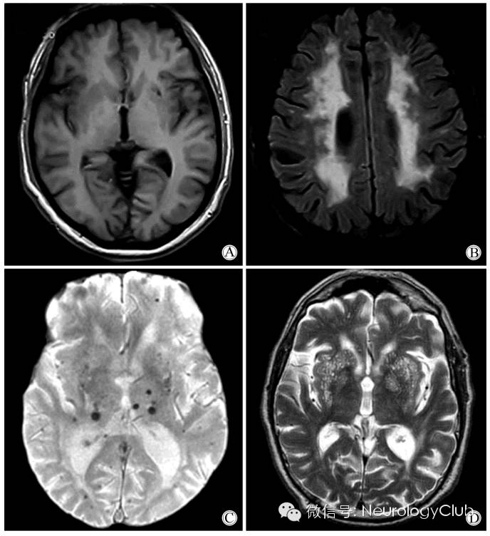
(CSVD的重要影像学特征。A:DWI提示急性深部小梗死[腔隙性梗死],直径<2cm;B:FLAIR上提示腔隙,内为脑脊液,直径在3mm-1.5cm之间,位于白质或深部灰质或者脑干,信号同脑脊液;C:FLAIR提示白质高信号,见于白质和深部灰质以及脑干,呈T2/FLAIR高信号,T1WI多不可见但偶为低信号,数量较多时可融合;D:T2WI提示血管周围间隙,因内为脑脊液样液体故而呈高信号,直径<3mm,圆形或线形,位于白质和深部灰质,明显时T1上可见低信号)



(A:T1WI腔隙灶;B:FLAIR脑白质 病变;C:T2*WI微出血;D:T2WI扩大的血管周围间隙)



(MRI上CSVD的不同病灶的形态和信号示意图,他们之间可能有重叠表现,有时难以区分。F,FLAIR;白色提示相对于背景病灶呈高信号;黑色提示相对于背景病灶呈低信号


1腔隙


腔隙(lacunes)源于病理学描述,原指脑内小的空腔,多数由梗死灶演变而来,直径3-15mm的囊性病灶,MRI全部序列均呈脑脊液样信号特征,即在T1加权像及液体衰减反转恢复(fluid attenuated inversion recovery,FLAIR)像上均呈低信号,T2加权像呈高信号。


2新发皮层下小梗死


新发皮层下小梗死(recent small subcortical infarcts)常被称为腔隙性梗死(lacunar infarction,LI),MRI的弥散加权成像(diffusion weighted imaging,DWI)表现为直径3-20mm的高信号病灶。腔隙及LI主要分布于豆状核、丘脑、额叶脑白质、脑桥、基底节、内囊及尾状核。影像学所见的腔隙或LI可伴随或不伴随临床表现,不伴随临床表现则认为是“无症状性”或“静息性”,伴随临床表现时则称为腔隙综合征,常为皮质下或脑干小病变相关的特定症状及体征。



(DWI和T1WI示急性小梗死。从左至右为DWI上基底节区至半卵圆中心的连续层面;最右图为T1WI。冠状位T1WI上小梗死呈管状,沿穿支动脉走形


(T1WI[左]和DWI[右]上的连续层面的左侧基底节区新发小梗死。白线标注了冠状位上病灶的尺寸,在横断面上病灶近圆形,而冠状位上呈管状)


(DWI和FLAIR上不同部位形状的急性小梗死。A:内囊后肢小的卵圆形梗死;B:半卵圆中心小圆形梗死,伴白质高信号;C:内囊后肢稍大的卵圆形梗死,可见其他腔隙;D:外囊至半卵圆中心的管状梗死)



(7.0T磁共振上显示可能的脑微梗死。微梗死在FLAIR[a,0.8×0.8×0.8mm3]和T2WI[b,0.7×0.7×0.7mm3]上为高信号,T1WI[c,1.0×1.0×1.0mm3]上为低信号。比例尺为4mm)



(急性小梗死的晚期常见结局。A:急性期的DWI[左]和FLAIR[中];B:1年后的FLIR。这些小梗死可消失,或表现为白质高信号或空洞化演变为腔隙)


3脑白质高信号


脑白质高信号(white matter hyperintensities,WMH)也称为脑白质病变(white matter lesions,WML)、脑白质改变(white matter changes,WMC)等。WMH是多种不同病因引起的脑室周围及半卵圆中心区的脑白质弥漫斑点状或斑片状缺血改变。根据病变部位不同,WMH可分为脑室旁白质病变和深部白质病变。



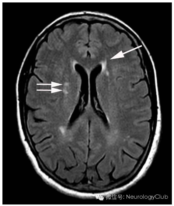
(FLAIR示脑室旁[箭]和皮质下深部单独散在的白质[双箭头]高信号。



(FLAIR[A]上可见融合的白质高信号,对应病灶在T1WI[B]上呈低信号,其信号较脑脊液高,与正常灰质信号接近)


4扩大的血管周围间隙


扩大的血管周围间隙(enlarged perivascular spaces,EPVS)即Virchow-Robin腔(VRS),也称为血管周围淋巴间隙,属于神经系统内的正常解剖结构,是围绕着小动脉和小静脉的两层软脑膜构成的非常狭窄的间隙,起着参与组织间液引流和免疫的功能。当PVS扩大至一定程度时在MRI上才能显现,一般认为直径<2mm的PVS为正常解剖结构,超过此范围即为扩大的血管周围间隙。EPVS在MRI上表现为边界清晰的圆形、卵圆形或线形结构,最大直径<3mm,其信号与脑脊液相同,即T1加权像及FLAIR像上呈低信号,T2加权像呈高信号,无增强效应和占位效应,多位于穿支动脉供血区,且常与之伴行。因此EPVS在MRI上易与腔隙混淆,需通过病灶分布位置、大小、形态以及病灶周边信号鉴别,值得一提的是腔隙在FLAIR像上可见病灶周围成环晕状高信号,而EPVS多无此特征。



(A:72岁无症状患者,T2WI可见线状血管周围间隙,FLAIR可见血管周围间隙旁白质高信号;B:49岁男性,T2WI可见左侧内囊急性小梗死[未放图]和从脑室旁延伸至皮质下组织的血管周围间隙;C:相应的FLAIR上一处白质高信号位于血管周围间隙旁;D:组织学上的血管周围间隙,可见小穿支动脉旁脑实质回缩。多为老年脑的典型表现,常伴有CSVD



(T2WI[左]可见边缘薄而锐利的白线状和点状血管周围间隙;FLAIR[右]可见较大蓬松的白质高信号,在个别案例中位于血管周围间隙旁。指示的部位已用圆圈出。B的上图中,基底节区外囊部位血管周围间隙在T2WI上表现为低信号区域)


5脑微出血


脑微出血(cerebral microbleeds,CMB)是由于微小血管壁严重损害时血液通过血管壁漏出,形成以脑实质含铁血黄素沉积为主要特征的亚临床损害。CMB在颅脑MRI的T2加权像梯度回波序列(Gradient-Recall Echo,GRE)及磁敏感加权成像序列(susceptibility weighted imaging,SWI)表现为小范围(通常直径为2-5mm,最大不超过10mm)的圆形或卵圆形黑色信号病灶,周围无水肿现象。目前推荐SWI作为CMB标准检测序列。分布于皮质软脑膜、皮质及灰白质交界处的CMB称为脑叶微出血,与脑淀粉样血管病相关;而分布于基底节、丘脑、脑干及小脑的CBM常与高血压病相关。


(脑微出血及其他CSVD的模式图)



(73岁脑淀粉样血管病患者可见多发微出血和局部表面铁沉积。脑微出血[a-d黑箭和c-d白箭]和局部表面铁沉积[a-d虚白箭]在SWI[b,d]上较T2*WI[a,c]表现出更明显的低信号和更大的直径。c-d分别为a-b中框出部位的放大


6脑萎缩


这里的脑萎缩(brain atrophy)是指在CSVD的前提下出现的脑容积减少,而非肉眼可见的特定局部损伤例如颅脑创伤或脑梗死所致。MRI可见脑体积缩小,脑沟变宽加深,脑回变窄,脑室扩大。理想情况下,脑萎缩的判断需要长期的随访并与先前影像学比较。散发的局部病变,例如皮质梗死,所致的脑组织缺损容易在影像学上发现,注意不要与继发于弥漫病变的全脑或局部脑萎缩混淆。



(55岁CSVD患者的继发性脑萎缩。相比先前的磁共振[中],随访时的磁共振[T1WI,右图]可见明显的脑沟变宽[箭B-D],特别是枕区,脑室扩大[箭A],期间无新发梗死。FLAIR[左]可见白质高信号)


[参考文献]

1. 李玲, 周华东, 王延江.脑小血管病MRI表现对痴呆的预测作用.中国卒中杂志. 2015;10(10):883-887.

2. Norrving B.Evolving Concept of Small Vessel Disease through Advanced Brain Imaging.J Stroke. 2015 May;17(2):94-100.

3. Wardlaw JM, Smith EE, Biessels GJ, Cordonnier C, Fazekas F, Frayne R, Lindley RI, O'Brien JT, Barkhof F, Benavente OR, Black SE, Brayne C, Breteler M, Chabriat H, Decarli C, de Leeuw FE, Doubal F, Duering M, Fox NC, Greenberg S, Hachinski V, Kilimann I, Mok V, Oostenbrugge Rv, Pantoni L, Speck O, Stephan BC, Teipel S, Viswanathan A, Werring D, Chen C, Smith C, van Buchem M, Norrving B, Gorelick PB, Dichgans M; STandards for ReportIng Vascular changes on nEuroimaging (STRIVE v1).Neuroimaging standards for research into small vessel disease and its contribution to ageing and neurodegeneration.Lancet Neurol. 2013 Aug;12(8):822-38.

4. Wardlaw JM, Smith C, Dichgans M.Mechanisms of sporadic cerebral small vessel disease: insights from neuroimaging.Lancet Neurol. 2013 May;12(5):483-97.

5. 米涛免, 孙永馨.脑小血管病多样化临床表现的影像学基础.首都医科大学学报. 2013;34(6):860-867.

6. Benjamin P, Viessmann O, MacKinnon AD, Jezzard P, Markus HS.7 Tesla MRI in cerebral small vessel disease.Int J Stroke. 2015 Jul;10(5):659-64.

7. Charidimou A, Werring DJ.Cerebral microbleeds and cognition in cerebrovascular disease: an update.J Neurol Sci. 2012 Nov 15;322(1-2):50-5.

8. Linn J.Imaging of Cerebral Microbleeds.Clin Neuroradiol. 2015 Oct;25 Suppl 2:167-75.


温馨提醒

请尊重我们的劳动成果,转载请注明出处哦~~~




神经病学俱乐部 微信号:NeurologyClub
神经病学俱乐部,立足一线临床,服务神经科同行,助力神经病学天天向上